Artroza umărului, cunoscută și sub denumirea de omartroză, este o afecțiune degenerativă care afectează în principal articulația glenohumerală. Aceasta apare atunci când cartilajul care acoperă suprafețele articulare se degradează, iar în timp se instalează o durere constantă și o limitare a mobilității umărului, ceea ce perturba activitățile zilnice, printre care și îmbrăcatul sau activitățile de igienă corporală.
Ce este artroza umărului?
Artroza umărului este o afecțiune cronică care implică degradarea cartilajului articular, ducând în timp la modificarea raporturilor normale între suprafețele articulare. Cartilajul articular este un țesut cu proprietăți speciale în organismul uman, permițând o mișcare armonioasă a articulației glenohumerale. Pe măsură ce cartilajul se deteriorează, suprafețele osoase fără cartilaj ajung să se frece una de cealaltă, ceea ce duce la creșterea forțelor de frecare, la un proces inflamator cronic, cu durere și rigiditate articulară.
Tipuri de artroză a umărului
- Artroza primară (idiopatică) apare odată cu înaintarea în vârstă, ca urmare a uzurii naturale a articulației, probabil sub influența unor factori genetici.
- Artroza secundară este cauzată de factori specifici, cum ar fi traumatismele (posttraumatica, cu sau fără necroză aseptică de cap humeral), dezechilibrele articulare cauzate de leziunile coafei rotatorii, instabilitatea cronică a umărului sau alte afecțiuni metabolice sau autoimune, precum artrita reumatoidă.
Cauzele omartrozei secundare:
Deși înaintarea în vârstă este un factor de risc important, artroza umărului poate fi cauzată de mai mulți factori:
- Cuff Tear Arthropathy – prin leziunea tendoanelor coafei rotatorii a umărului are loc migrarea superioară a capului humerusului, cauzând un consum anormal al componentelor articulare (rezultând în stadii avansate un consum osos cu repercusiuni importante asupra tratamentului chirurgical).
- Traumatisme: Luxațiile sau fracturile la nivelul umărului pot deteriora cartilajul articular sau stocul osos articular.
- Suprasolicitarea: Activitățile repetate sau ridicarea greutăților mari pot accelera uzura articulației, mai ales a tendoanelor coafei rotatorii.
- Afecțiuni inflamatorii: Bolile autoimune, cum ar fi artrita reumatoidă, pot deteriora cartilajul articular sau boli care se caracterizează prin depunerea de cristale minerale (de exemplu calciu pirofosfat), gută.
- Boli neurologice – boala Charcot
- Osteonecroza – primară sau posttraumatică
Simptomele artrozei umărului
Simptomele artrozei umărului evoluează lent, iar severitatea lor poate varia:
- Durere: Inițial intermitentă, durerea poate deveni constantă și mai intensă pe măsură ce boala progresează.
- Rigiditate: Mișcările umărului devin limitate, mai ales dimineața sau după perioade de inactivitate.
- Senzație de frecare: În timpul mișcărilor, pot apărea zgomote sau senzații de frecare în articulație.
- Pierderea forței: Activitățile zilnice, cum ar fi ridicarea obiectelor, devin dificile din cauza slăbirii musculaturii.
- Inflamație: Umflarea sau sensibilitatea în jurul articulației poate indica inflamație, variabilă cu schimbările de vreme.
Diagnosticarea artrozei umărului
Un diagnostic precis este esențial pentru a stabili severitatea afecțiunii și pentru a planifica tratamentul adecvat. Acesta include:
- Examinare fizică: Medicul va evalua mobilitatea, sensibilitatea și forța musculară a umărului.
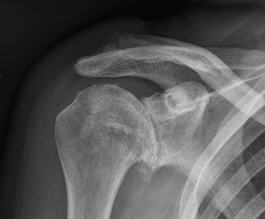
- Radiografii: Acestea pot arăta reducerea spațiului articular, prezența osteofitelor (excrescente/ciocuri osoase, constant în partea inferioară a capului humeral) sau alte modificări degenerative, printre care modificarea poziției capului humeral.
- Imagistică avansată: RMN-ul sau CT-ul pot oferi o imagine de ansamblu, detaliată a stării cartilajului, stocului osos și a structurilor înconjurătoare.

Opțiuni de tratament pentru artroza umărului
Tratamentul artrozei umărului variază în funcție de severitatea simptomelor și poate fi conservator sau chirurgical.
- Tratament conservator
- Medicamente:
- Analgezice pentru controlul durerii.
- Medicamente antiinflamatoare nesteroidiene (AINS) pentru reducerea inflamației.
- Infiltrări intraarticulare:
- Infiltrările cu corticosteroizi pot oferi ameliorare pe termen scurt.
- Infiltrările cu acid hialuronic ar putea aduce îmbunătățiri.
- Fizioterapie:
- Exerciții pentru întărirea mușchilor din jurul umărului și pentru menținerea/creșterea mobilității.
- Tehnici de terapie manuală pentru reducerea rigidității.
- Schimbări ale stilului de viață:
- Evitarea activităților care agravează simptomele.
- Menținerea unei posturi corecte pentru a reduce stresul asupra articulației.
- Tratament chirurgical
În cazurile severe, când tratamentele conservatoare nu mai aduc ameliorare, se pot efectua intervenții chirurgicale, cum ar fi:
- Artroscopia: Utilizată pentru toaletizarea articulației (Cam Procedure).
- Reconstrucția articulației: Endoprotezarea articulației cu proteză anatomică sau proteză inversată.
- Artrodeza umărului: Blocarea mișcărilor articulației, operație care în zilele noastre are o valoare mai mult istorică.

Prevenirea artrozei umărului
Deși nu există o metodă certă de a preveni artroza umărului, următoarele măsuri pot reduce riscul:
- Exerciții regulate: Menținerea forței și flexibilității, echilibrului muscular pentru a susține articulația.
- Evitarea suprasolicitării și purtării greutăților: Folosirea tehnicilor corecte în activitățile fizice și mai ales în sala de fitness.
- Tratarea afecțiunilor preartrozice: Gestionarea precoce a artritei reumatoide sau a altor boli care provoacă artroza (de exemplu, reconstrucția tendoanelor coafei).
Unde să ceri ajutor
Dacă te confrunți cu dureri sau rigiditate la nivelul umărului, este esențial să consulți un medic specialist. Un diagnostic corect și un tratament personalizat pot preveni progresia bolii și pot îmbunătăți calitatea vieții.
La OrthoMed, Dr. Nicolae Horhocea este supraspecializat în patologia umărului și cotului, fiind certificat de societatea țărilor vorbitoare de germană pentru patologia umărului și cotului. Cu o vastă experiență și acces la cele mai noi tehnologii medicale, Dr. Horhocea oferă tratamente moderne și soluții personalizate pentru fiecare caz în parte.
Artroza umărului este o afecțiune care poate afecta semnificativ calitatea vieții, dar gestionată corect, simptomele pot fi controlate, iar funcționalitatea articulației poate fi îmbunătățită.
Dacă ești nesigur de sănătatea umărului, nu ezita să te programezi la o consultație pentru artroză. Sub îndrumarea Dr. Nicolae Horhocea, vei beneficia de cele mai bune soluții pentru recuperare.ia de un diagnostic precis și de un plan de tratament adaptat nevoilor tale, pentru a-ți recăpăta mobilitatea și confortul în viața de zi cu zi.








