Necroza avasculară a capului femural este o boală care se caracterizează prin afectarea vascularizației acestei structuri anatomice a articulației șoldului. Deși simptomatologia bolii a fost descrisă prima dată de regele Franz în anul 1888, Haenisch a descris boala în anul 1925 și primul caz de necroză după terapia cu steroizi a fost relatat în 1957 de Pitrogrande, încă nu a fost complet elucidat mecanismul de producere, doar unii factori de risc fiind identificați.
Mecanism de apariție:
În cadrul necrozei aseptice a capului femural este afectată vascularizația unei porțiuni osoase a capului femural care se soldează cu infarctul osului din zona respectivă și implicit moartea acestuia, provocând în stadiile avansate prăbușirea structurii osoase. Boala este mai frecventă la bărbați, la vârste între 20 și 49 ani, poate fi unilaterală, dar în peste 40% din cazuri poate fi bilaterală. Cele mai frecvente cauze sunt administrarea de cortizon în doze mari și timp îndelungat, traumatismul șoldului nativ (luxația), consumul excesiv de alcool, boli ale sângelui și vaselor. Boala evoluează în mai multe stadii, cu simptomatologia și aspectul radiologic corespunzător stadiului.

Preparat anatomic care prezintă prăbușirea osului subcondral (crescent sign).
Diagnostic
Examenul clinic al șoldului este nespecific, pacientul poate acuza durere mare la nivelul șoldului cu o mobilitate păstrată a articulației în faza incipientă și o limitare a mișcărilor șoldului în stadiile avansate ale bolii, precum și șchiopătare la mers.
Diagnosticul paraclinic – examinarea radiologică a șoldului ne poate arăta în faze mai avansate modificări de structură ale capului femural, colapsul acestuia și, în stadiul final, degenerarea întregii articulații. Examinarea RMN este investigația paraclinică de elecție în cazul acestei patologii, putând face diferența între osul sănătos, edemul osos și osul deja necrozat. Examinarea CT evidențiază cu acuratețe mai mare dacă suprafața osoasă a capului femural s-a prăbușit, fiind necesară pentru diferențierea anumitor stadii de evoluție.
Pentru clasificarea radiologică a evoluției au fost publicate mai multe clasificări (Ficat și Arlet, Steinberg – radiologică, Mitchell – clasificare pe baza aspectului RMN), dar cea mai utilizată momentan este clasificarea ARCO, publicată de societatea cu același nume, cu rol atât în stadializarea bolii, cât și în stabilirea planului terapeutic.

Clasificarea ARCO, cu stadiile RMN corespunzătoare

Imagini RMN care evidențiază necroza capului femural; imaginea din partea dreaptă – efectuare foraje cap femural.

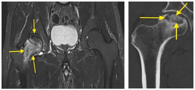
Examinare RMN – necroză cap femural drept, cap femural stâng sănătos.
Examinare CT a necrozei.
Tratament
În fazele incipiente se poate administra tratament medicamentos antiinflamator, tratamentul injectabil cu prostaglandine, schimbarea regimului de încărcare a membrului inferior afectat. Tratamentul cu statine și terapie hiperbară nu are o eficiență terapeutică clar dovedită.
Tratamentul chirurgical este corespunzător stadiului bolii (decompresie chirurgicală a capului femural, grefă osteocondrală sau cu fibula vascularizată, osteotomie și implantarea unei proteze totale de șold – în stadiul final).
Pentru prognosticul bolii este important stadiul în care este descoperită boala, localizarea și întinderea necrozei.

Examinare radiologică: radiografia din partea stângă ne prezintă dispariția aproape completă a capului femural ca urmare a necrozei și radiografia din dreapta controlul postoperator după endoprotezare cu proteză totală de șold necimentată.
https://pmc.ncbi.nlm.nih.gov/articles/PMC8216992
https://orthoinfo.aaos.org/en/diseases–conditions/osteonecrosis-of-the-hip
https://www.ncbi.nlm.nih.gov/books/NBK546658
https://emedicine.medscape.com/article/86568-overview?form=fpf







