Noțiuni generale
Umărul înghețat (capsulita adezivă) este o boală a umărului care se caracterizează prin durere și limitarea mișcării umărului (articulația glenohumerală), afectând atât mobilitatea activă, cât și pe cea pasivă. Această boală apare ca urmare a inflamării structurilor articulare moi, în principal capsula articulară, rezultând îngroșarea acestora (pierzându-se suplețea mișcărilor umărului) și poate fi primară/idiopatică, cât și secundară/asociată altor boli ale umărului (traumatism, postoperator, imobilizare prelungită, boli metabolice). Ea apare mai frecvent la persoanele cu vârsta între 40 și 60 de ani și, de asemenea, este mai frecventă la sexul feminin, la pacienți cu diabet zaharat, boli tiroidiene, boala Parkinson.
Evoluție
Boala evoluează în mai multe etape:
- Faza de instalare – redoare umăr/înghețare – intensitatea durerii crește progresiv și, în același timp, scade mobilitatea umărului.
- Faza umărului înghețat – este etapa în care durerea se poate ameliora, dar limitarea mobilității umărului persistă (în unele cazuri se agravează).
- Faza de regres a înghețării – mobilitatea umărului se ameliorează treptat.
Fiecare etapă are o durată variabilă de la pacient la pacient, dar de obicei se întinde pe parcursul mai multor luni de zile. Durerea poate fi mai intensă noaptea, perturbând somnul pacientului.
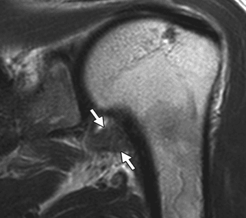
Diagnosticare: Această boală este diagnosticată prin examen clinic, nicio examinare imagistică nu este specifică diagnosticării acestei patologii, deși la examinarea RMN se pot evidenția unele modificări tipice.

Modificări la examinarea RMN, care arată o îngroșare a capsulei articulare.

Tratament
Tratamentul constă în controlul durerii și redobândirea mobilității umărului.
Tratamentul conservativ constă în administrarea de antiinflamatoare nesteroidiene sau steroidiene, fiziokinetoterapie, eventual infiltrații intraarticulare, blocuri nervoase.
În lipsa obținerii îmbunătățirii dorite la tratamentul conservativ se poate practica tratamentul chirurgical, necesar doar la un procent mic dintre pacienții cu această patologie. Acesta constă în efectuarea unei artroscopii de umăr de către un medic supraspecializat în chirurgia umărului, urmat, de asemenea, de un program individualizat de kinetoterapie. Adresarea către un ortoped supraspecializat în această patologie este importantă pentru alegerea opțiunii terapeutice optime, cu timingul potrivit.
Frozen Shoulder – Adhesive Capsulitis – OrthoInfo – AAOS
https://www.mayoclinic.org/diseases-conditions/frozen-shoulder/symptoms-causes/syc-20372684
https://my.clevelandclinic.org/health/diseases/frozen-shoulder-adhesive-capsulitis








