Tendinita calcifiantă a umărului este o boala musculoscheletală reprezentând o cauză frecventă a durerii de umăr, de obicei este autolimitantă, care se caracterizează histopatologic atât prin depunerea de cristale de calciu în tendoane, cât şi printr-o reacţie inflamatorie generată prin evoluţia în timp a calcificarilor la nivelul coafei rotatorii, dar şi în spațial subacromial. Mecanismul de apariţie al calcificărilor (cristale de hidroxiapatită) nu a fost complet elucidat, deşi primele descrieri ale bolii au fost făcute cu mai bine de un secol în urmă (1907 Painter, 1912 Wrede). Boala are de obicei 3 faze (din punct de vedere al evoluţiei depozitului calcaros care se corelează cu variaţiile intensităţii durerii) şi poate avea o evoluţie complicată în 10-30% din cazuri. Aceste depozite de calciu nu sunt simptomatice la toate persoanele, fiind citată in studiile de specialitate o frecvenţă a simptomatologiei de aproximativ 30-45% din cazuri şi apare mai frecvent la sexul feminin. Ȋn aproximativ 90% din cazuri sunt implicate tendoanele supraspinos și infraspinos. Calcificările pot suferi modificări de consistenţă în timp pană la resorbţie spontană.
Examinarea radiologică este investigaţia paraclinică de elecţie atât pentru stabilirea diagnosticului cât şi pentru urmărirea evoluţiei in timp, dar şi a unui diagnostic diferenţial fată de alte patologii. Examinarea RMN poate completa examinarea radiologică (sensibilitate dependentă de incidenţa radiologică), deşi are o senbilitate mai mică comparativ cu radiologia clasică, are avantajul unei reprezentări tridimensionale (3D) a zonei examinate.
Tratamentul constă în tratament medicamentos antiinflamator, eventual infiltraţii subacromiale, sedinţe de recuperare (care nu pot influenţa dimensiunea depozitului calcaros), litotriţia extracorporeală (ESWT) a fost citată ca eficientă în unele studii clinice, în cazul lipsei de răspuns favorabil la tratamentul conservativ, mai ales în cazul unui tratament îndelungat se poate practica needling şi îndepărtarea chirurgicală (artroscopică) a depozitului calcaros.
- Tendinita calcifiantă supraspinos

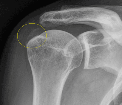
Aspect radiologic depozit calcaros tendon supraspinos

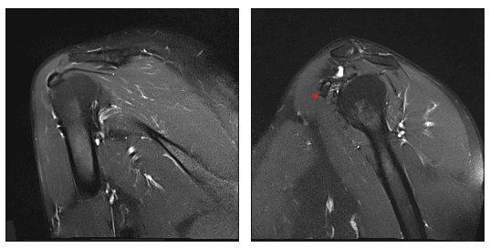
Vizualizare prin examinare RMN a calcificării în tendonul supraspinos

Aspect artroscopic depozit calcaros tendon supraspinos cu evacuare artroscopică



3. Calcificare masivă tendon supraspinos – imagine radiologică
Referințe:
https://pmc.ncbi.nlm.nih.gov/articles/PMC7726362
https://my.clevelandclinic.org/health/diseases/21638-calcific-tendonitis







